超全汇总!这108种实验室常见的细胞系赶紧了解一下!
发布时间:2025-01-11
浏览次数:27930
作者:东极药物
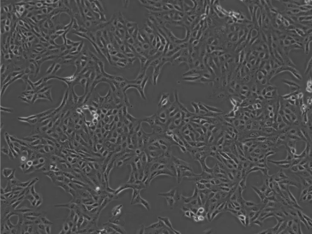
在细胞培养中,我们常常会接触到各种各样的细胞类型,它们来源于不同的组织和器官,具有各自特定的特性和用途,赶快了解一下,别再傻傻分不清楚啦~一、293细胞【简介】:293细胞是人肾上皮细胞系,有多种衍生株,比如···
在细胞培养中,我们常常会接触到各种各样的细胞类型,它们来源于不同的组织和器官,具有各自特定的特性和用途,赶快了解一下,别再傻傻分不清楚啦~
一、293细胞

【简介】:293细胞是人肾上皮细胞系,有多种衍生株,比如HEK293、293T/17等,极少表达细胞外配体所需的内生受体,且比较容易转染,是一个很常用的表达研究外源基因的细胞系
【细胞来源】:人体肾脏
【细胞形态】:上皮细胞
【生长特性】:贴壁
【培养基】:DMEM+10%FBS+1%P/S
二、PC-12细胞
【简介】:PC-12细胞是大鼠肾上腺髓质嗜铬瘤分化细胞系,具有神经内分泌细胞的一般特征,因其具可传代特点,广泛应用于神经生理和神经药理学研究
【细胞来源】:褐家鼠(Rattus norvegicus)肾上腺嗜铬细胞瘤
【细胞形态】:多角型细胞
【生长特性】:贴壁较松,容易成团
【培养基】:RPMI-1640+5%FBS+15%马血清+1%P/S
三、HepG2细胞
【简介】: HepG2不仅具有肿瘤细胞的特征,还保持着许多与正常肝细胞相似的功能特性,因此是最常用的肝细胞模型,广泛应用于肝炎、脂肪肝、肝癌等相关研究,还可以用来测试药物对肝脏的影响,评估药物代谢和毒性反应
【细胞来源】:人肝癌细胞
【细胞形态】:上皮细胞
【生长特性】:贴壁
【培养基】:DMEM+10%FBS
四、vero细胞

【简介】:是一种连续的细胞系,因此它可以无限期传代,从而实现广泛的细胞表征和大量细胞库的建立,这与传代能力有限的原代细胞系(如鸡胚成纤维细胞)相比是一个宝贵的优势
【细胞来源】:非洲绿猴(African green monkey)的肾脏组织
【细胞形态】:上皮细胞
【生长特性】:贴壁
【培养基】:DMEM+10%FBS+1%P/S
五、SF9细胞
【简介】:SF9细胞对核多角体病毒、圣路易斯脑炎病毒敏感,可用于复制杆状病毒表达载体,也是一种合适的转染宿主
【细胞来源】:(草地夜蛾)卵巢细胞
【细胞形态】:上皮细胞
【生长特性】:贴壁
【培养基】:Grace's Insect Medium(Supplemented)+10%FBS+1%P/S
六、汇总表







文章出自:细胞实验外包 想了解更多请关注:http://www.dj-cro.com/













